技术资讯
Technical Information“脂来安”对猪繁殖与呼吸综合征病毒(PRRSV)的
体内抗病毒效果评价报告
四川农业大学 徐志文教授团队
评价结论:本实验旨在评估脂来安对猪繁殖与呼吸综合征病毒(PRRSV)的体内抗病毒效果。实验通过设置多个组别(脂来安组、空白对照组、病毒对照组及油对照组)对24头仔猪进行攻毒,并根据不同的治疗时机及剂量进行口服给药。结果表明,脂来安在预防PRRSV感染及减轻病毒负担方面表现出显著效果。在临床症状方面,脂来安组的仔猪表现出较轻的发病症状,发病时间较晚,且症状较轻。特别是A2组(高剂量脂来安组),症状恢复速度较快,无仔猪死亡。相较之下,病毒对照组(C组)仔猪症状严重,且死亡率较高。此外,脂来安能够显著减少病毒的排毒,A组的排毒高峰值明显低于C组,并且排毒持续时间较短。病毒载量检测结果显示,脂来安能够有效抑制PRRSV在仔猪体内的复制,特别是在肺脏和肺门淋巴结中,病毒载量明显低于病毒对照组,而油对照组的效果则较为有限。病理观察证实,脂来安组仔猪的肺组织损伤轻于病毒对照组,表现出较少的炎性细胞浸润和肺泡损伤。细胞因子分析结果表明,脂来安对炎症反应有一定抑制作用,尤其在减少促炎因子(如IL-6、TNF-a、IL-1B)的升高方面具有显著效果。同时,脂来安在高剂量下能够增强细胞免疫反应,促进IFN-Y的升高。综上所述,脂来安对PRRSV感染具有明显的抗病毒效果,能够有效减轻临床症状、降低病毒载量并调节免疫反应,特别是在高剂量使用时,表现出更好的抗病毒作用和免疫调节效果。
关键词:脂来安,猪繁殖与呼吸综合征病毒(PRRSV),体内抗病毒效果评价
1.脂来安体内抗PRRSV效果评价
1.1实验材料
1.1.1实验试剂
PrimeScript™RT reagent Kit(Perfect Real Time)、DNA/RNA提取试剂盒、TBGreenRPremix ExTaq™(Tli RNaseH Plus)购于宝生物(大连)工程有限公司。
1.1.2毒株和实验动物
PRRSV NJ毒株由四川农业大学动物生物技术中心提供;24头仔猪及饲料购自成都旺江农牧科技有限公司。
1.2 实验方法
1.2.1仔猪分组及攻毒给药
在实验前对试验场地进行严格的消毒,先用甲醛熏蒸过夜,后用百毒杀喷酒消毒。在购进猪后按照规模化养殖场的条件进行饲养,防止猪群出现应激和细菌感染,随时注意的猪的清洁工作,用适合仔猪生长的全价饲料进行饲养。先观察3天,无异常后再进行攻毒与灌服药物。24头断奶仔猪分为6组,每组4头,详细分组信息见1,A1、A2组为脂来安试验组,B组为空白对照组,C组为病毒对照,D1、D2为油对照组。仔猪分组信息、攻毒和给药时间如下表:

1.2.2临床症状观察
每日观察各组仔猪临床症状并收集鼻拭子检测PRRSV。同时每日测定体温及采血。当出现明显的喘气症状并濒临死亡时立即处死并剖解,采集肺脏及肺门淋巴结。连续观察14d。
攻毒14d后,剖杀全部猪只。采集肺脏组织及肺门淋巴结冻存并固定于4%多聚甲醛。
1.2.3 RT-qPCR定量检测组织PRRSV载量
将收集到的肺脏、肺门淋巴结研磨后,使用3.0mLPBS充分混匀,置于离心机1200Or/min,离心3min。取上清液,参考RNAiso说明书,抽提RNA。将得到的RNA进行反转录得到cDNA。cDNA通过荧光定量PCR,检测PRRSV病毒载量,反应体系如表6;反应程序:95℃预变性30s;95℃5s;60℃30s;进行40个循环。溶解曲线:95℃,65℃以每秒升高0.5℃至95℃。

1.2.4仔猪病理组织学观察
4%多聚甲醛固定的肺脏及肺门淋巴结,经过脱水、透化、包埋、切片、脱蜡、复水、染色、封片等步骤,制作HE染色切片,在显微镜下观察病理变化。
1.2.5 细胞因子测定
在攻毒后第0天以及第3天采集仔猪静脉血,使用试剂盒检测仔猪血液中IL-6、IL-8、IL-10、IL-1β、IFN-Y、TNF-a等细胞因子水平。
1.3实验结果
1.3.1各组仔猪死亡情况
在攻毒给药后连续观察14d,结果显示(表3):A组中,A1组第9天有1头仔猪死亡,A2组无死亡;B组在观察期间无仔猪死亡;C组第5、9、10、13天分别死亡1头,共死亡4头;D1组在第1、13天各死亡1头,D2组在第8、13天各死亡1头,共死亡2头。此外,A、B、D各组剩余仔猪在第14天全部剖杀,C组无剩余仔猪剖杀。

1.3.2攻毒后各组仔猪临床症状观察
在攻毒后,各组仔猪均出现了发热、喷嚏、呼吸困难、神经症状和采食量下降等临床症状,但不同组之间的发病先后、严重程度及症状表现有所差异(如表4所示)。A组(脂来安实验组):发热、呼吸道症状和采食下降的临床症状明显,但总体表现较轻,发病时间较晚,症状数量较少,其中A2较A1恢复更快且无死猪。与C组相比,A组的采食量始终较高,且发热症状较轻,呼吸道症状的发生频率较低。B组:在观察期内未出现任何临床症状。C组:发热、呼吸道症状和采食下降症状较为严重,且发病时间较早,症状数量较多,频繁死猪。D组:临床症状逐渐表现,但发病时间较晚,症状的严重程度介于A组与C组之间,且D1和D2都出现了2头死猪。

1.3.3试验期间仔猪体温变化情况
攻毒后各组仔猪体温变化情况如附加表1及图1所示。病毒对照C组仔猪在攻毒后第2天体温即升高,达到39.260℃,第3天迅速升高至40.810℃,并一直维持在高热状态(最高达41.183C)。A组(A1与A2)亦于攻毒后第3天体温显著上升,A1亚组自38.423C升至40.060°℃,第4-6天持续升高至峰值41.160°C,第7天开始明显下降,第8天趋于正常;A2亚组体温变化与A1类似,第3天升至40.187℃,并在第4-6天波动于40.1~40.5℃之间,第8天后逐步恢复正常。对照B组体温变化幅度较小,始终维持在38.1~39.3℃之间,未出现明显高热反应。D组(D1与D2)则在第3天即出现体温升高现象,D1最高升至41.120℃,D2亦超过40℃,体温峰值出现略早于A组,且体温恢复较慢,至第9-10天基本回归正常范围。


图1 各组体温变化
1.3.4试验期间仔猪排毒变化情况
滴鼻攻毒后各组仔猪PRRSV排毒量的变化如附加表2及图2所示。病毒对照C组于第7日至第12天之间维持较高排毒水平,并在第12天达到峰值(TCID50为5.56),排毒持续至第14天才逐步下降,至第11天仍保持较强病毒排出,显示出持续而明显的排毒过程。A组(A1与A2)排毒趋势相对温和,尽管两组均在第6天左右达到排毒高峰(A1峰值为4.78,A2峰值为4.03),但整体峰值低于C组,且排毒下降速度较快。从第10天起,A1与A2的TCID50值显著下降,第13天已接近或低于1.0,第14天时A2已检测不到病毒,A1亦仅为0.54,提示10天后基本不再排毒。空白对照B组在整个实验期间未检测到排毒现象,TCID50始终为0,显示其未发生感染。D组(D1与D2)排毒情况与C组较为接近,排毒峰值分别在第8至第9天达到5.18(D1)和4.97(D2),虽略低于C组,但高于A组;排毒持续时间亦较长,至第14天时仍有一定病毒排出(D1为2.31,D2为2.01)。


图2 攻毒后各仔猪排毒情况
1.3.5攻毒后肺脏、肺门淋巴结病毒载量
攻毒并给药后,对濒死仔猪进行剖检,采集肺脏与肺门淋巴结样本,通过荧光定量PCR检测PRRSV组织载量,结果如附加表3及图3所示。病毒对照C组病毒载量显著高于其他各组,其肺脏中PRRSV拷贝数达31427.1copies/g,肺门淋巴结中更高,达到68776.5copies/g,显示出病毒在呼吸系统组织中的广泛复制,病理状态较为严重。相比之下,A组(A1与A2)组织载量明显较低。A1组肺脏与肺门淋巴结中病毒载量分别为5145.3和15512.3copies/g,A2组略低,分别为4813.5和14547.3copies/g,两者差异不显著,提示脂来安具有良好的病毒抑制作用,且在不同个体间具有较稳定的效果。空白对照B组未检测到病毒(0.0copies/g),进一步验证其未被感染,作为对照组显示良好的对比基准。D组(D1与D2)病毒载量介于A组与C组之间,肺脏载量分别为6964.5和6612.1copies/g,肺门淋巴结为18363.8和17485.8copies/g,说明其对病毒复制具有一定抑制能力,但效果不及A组明显。


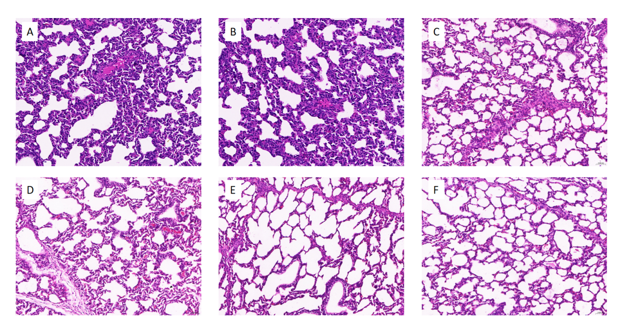
1.3.6仔猪剖检及病理观察
通过剖检观察可见(图4),病毒对照C组仔猪肺部病变最为严重(图4a),表现为广泛的肺组织充血、出血、水肿及间质增宽,同时伴有大量炎性细胞浸润、肺泡上皮细胞脱落与坏死等典型PRRSV感染特征,提示病毒在体内高度复制并引发显著组织损伤。A组与D组肺脏亦观察到一定程度的水肿与间质增宽(图4b、c),局部区域可见轻度充血和出血,但总体病变明显轻于C组。B组仔猪肺组织结构完整,无明显病理改变(图4d),与其未检测到病毒排毒和组织病毒载量结果相一致。进一步的组织切片观察结果(图5)显示,C组肺部组织中大量炎性细胞及红细胞渗出(图5a、b),反映出剧烈的免疫反应和组织破坏;而A组与D组组织切片结构均较完整(图5c、d),轻微细胞浸润或出血灶,B组未发生病毒感染(图5e、f)。

图4 仔猪攻毒后肺脏大体病变
A:充血、出血、水肿、间直增宽;B:轻微的充血和间质增宽;C:正常情况

图5 肺脏病理切片观察
A、B:大量炎性细胞和红细胞浸润,间质增厚;C、D:轻微细胞浸润和间质增厚;
E、F:未见明显异常
1.3.7 细胞因子测定结果
如图6所示,第0天各实验组仔猪体内多种细胞因子(IL-8、IFN-Y、IL-6、TNF-α、IL-1B、IL-10)均处于正常基础水平。攻毒后第3天,各实验组(A1、A2、D1、D2)及攻毒对照组C的炎症因子均出现不同程度的升高。在促炎因子方面,C组表现出最强烈的炎症反应,IL-8、IL-6、TNF-a与IL-1B水平均显著升高,尤其IL-6与IL-1β在C组中达到最高值(分别为264.96 pg/mL与439.79pg/mL),说明病毒在未干预条件下诱导了剧烈的炎症风暴。相比之下,A1与A2组各因子升高幅度明显小于C组,其中A1组普遍高于A2,提示脂来安在高、低剂量下对炎症反应具有抑制剂量依赖性。在IFN-Y变化趋势上,各攻毒组均显著升高,其中A2上升幅度最大,说明脂来安能增强细胞免疫反应的激活。在IL-10(抗炎因子)方面,攻毒后所有处理组IL-10水平均有提升,其中D组与C组IL-10达到200~300pg/mL水平,显示炎症后期机体尝试自我调节反应;但A组的IL-10水平上升幅度明显较低,脂来安可能对抗炎平衡作用有一定抑制。空白对照组B在所有细胞因子中均未见明显波动,证明试验的可靠性。
图6 仔猪在PRRSV攻毒并给药当天与PRRSV攻毒并给药后第3天细胞因子水平

HOTLINE:0592-3923906






